SDF Cavity Treatment for Children in Delhi NCR
SDF is one of the simplest and most effective ways to stop early cavities. At Tooth Tales, we make the experience easy, comfortable, and reassuring for both children and parents.
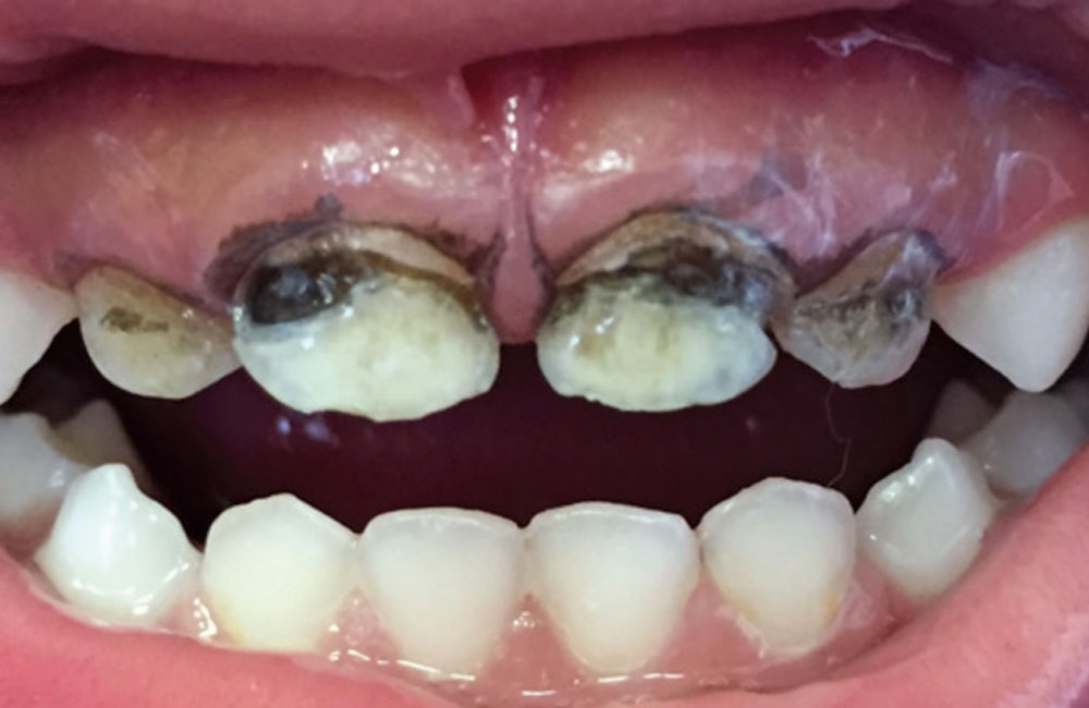
What Is SDF (Silver Diamine Fluoride)?
SDF is a safe, dentist-applied liquid that combines silver, which fights cavity-causing bacteria, and fluoride, which strengthens tooth enamel. It is designed to arrest or slow down decay, protecting your child’s teeth from further damage.
- Quick, non-invasive application in just a few minutes
- Safe for children and approved by pediatric dental guidelines
- Can be applied to multiple teeth in a single visit
- Helps preserve natural tooth structure without drilling
- Ideal for young or anxious children
Who Can Benefit from SDF?
SDF is ideal for early cavities, children with dental anxiety, or situations where a gentle and minimally invasive approach is preferred. It helps control decay safely until a more permanent solution can be planned.
- Toddlers and preschoolers with early cavities
- Children who feel anxious or fearful about traditional dental procedures
- Kids with small or early-stage cavities where drilling is not immediately necessary
- Children who are unable to cooperate for long procedures or have special needs
- Can be used as an interim treatment until a filling or crown can be placed.
What to Expect During Treatment
The SDF procedure is simple, safe, and quick. During the visit, the tooth is gently cleaned and dried, and a small amount of SDF is carefully applied to the decayed area using a micro-brush. There is no drilling, no injections, and no discomfort for your child. It is normal for the treated spot to turn dark, which indicates that the decay has been successfully arrested.
After the treatment, children can eat and drink normally, and follow-up visits are recommended every 6–12 months to monitor the results and reapply the solution if needed.
Complementary Benefits & Preventive Measures
SDF works best as part of a complete oral care plan. At Tooth Tales Clinic, we combine SDF with guidance and preventive care to support long-term dental health.
Parents should consider:
- Maintaining daily brushing and flossing routines
- Applying fluoride varnish as recommended
- Scheduling regular dental check-ups for monitoring
- Using sealants on healthy molars to prevent future cavities
- Encouraging a balanced diet low in sugary snacks and drinks
By combining SDF with these preventive measures, we help ensure your child’s teeth stay strong, healthy, and decay-free.